File:1562636292818-lg.jpg
Revision as of 22:50, 4 January 2020 by Alexandre.laedermann (talk | contribs)
Size of this preview: 800 × 411 pixels. Other resolutions: 320 × 164 pixels | 943 × 484 pixels.
Original file (943 × 484 pixels, file size: 195 KB, MIME type: image/jpeg)
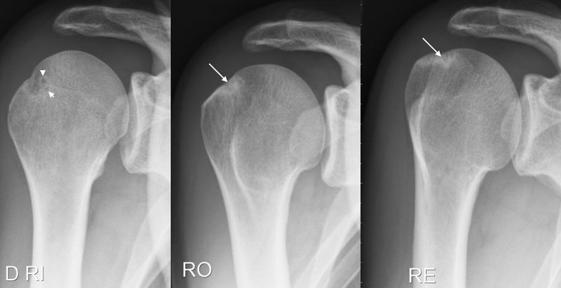
Radiological signs found on X-rays. Images showing bone cysts (short white arrows) or condensation (long white arrows) or on the greater tubercle and glenoid rim, indicating a previous posterosuperior impingement. From Pesquer L, Poussange N, Moreau-Durieux M-H, et al. Le conflit postéro-supérieur de l’épaule. Journal de Radiologie Diagnostique et Interventionnelle 2017;98:296-302, with permission.
File history
Click on a date/time to view the file as it appeared at that time.
| Date/Time | Thumbnail | Dimensions | User | Comment | |
|---|---|---|---|---|---|
| current | 22:50, 4 January 2020 | 943 × 484 (195 KB) | Alexandre.laedermann (talk | contribs) |
- You cannot overwrite this file.
File usage
The following 2 pages uses this file: