File:1562543901744-lg.jpg
Revision as of 20:34, 3 January 2020 by Alexandre.laedermann (talk | contribs)
Size of this preview: 788 × 600 pixels. Other resolutions: 315 × 240 pixels | 1,558 × 1,186 pixels.
Original file (1,558 × 1,186 pixels, file size: 1.55 MB, MIME type: image/jpeg)
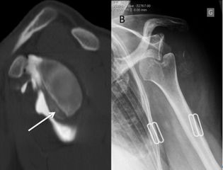
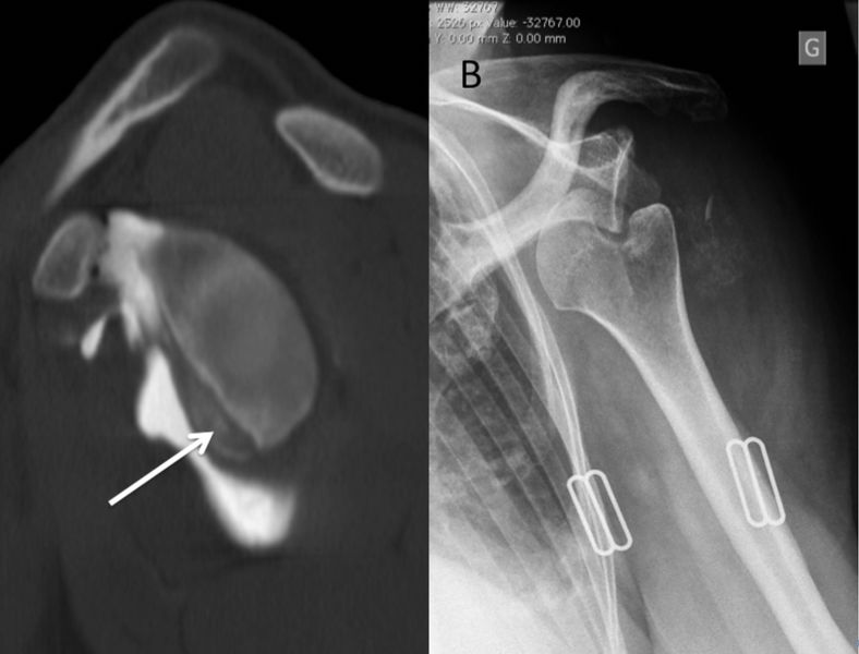
A) Sagittal view of a CT arthrogram of a left shoulder demonstrates a significant Bankart fracture that produces an “inverted-pear” glenoid. B) Plain anteroposterior radiograph reveals an anteroinferior glenohumeral dislocation with an “engaged” Malgaigne (Hill-Sachs) lesion of the humerus.
File history
Click on a date/time to view the file as it appeared at that time.
| Date/Time | Thumbnail | Dimensions | User | Comment | |
|---|---|---|---|---|---|
| current | 20:34, 3 January 2020 | 1,558 × 1,186 (1.55 MB) | Alexandre.laedermann (talk | contribs) |
- You cannot overwrite this file.
File usage
The following 2 pages uses this file: