File:Figure 27 jpeg.jpg

From WikiBeemed
Revision as of 14:16, 2 June 2021 by Alexandre.laedermann (talk | contribs)
(diff) ← Older revision | Latest revision (diff) | Newer revision → (diff)
Jump to navigation Jump to search

Original file(831 × 652 pixels, file size: 56 KB, MIME type: image/jpeg)

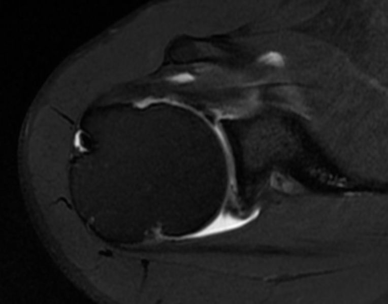
Axial T1 fat saturation magnetic resonance arthrography (MRA) sequence revealing humeral head cysts and a posterosuperior labral lesion.

File history

Click on a date/time to view the file as it appeared at that time.

Date/TimeThumbnailDimensionsUserComment
current14:16, 2 June 2021Thumbnail for version as of 14:16, 2 June 2021831 × 652 (56 KB)Alexandre.laedermann (talk | contribs)
  • You cannot overwrite this file.

The following page uses this file:

Metadata