File:1562645724133-lg.jpg

From WikiBeemed
Revision as of 22:08, 30 December 2019 by Alexandre.laedermann (talk | contribs)
(diff) ← Older revision | Latest revision (diff) | Newer revision → (diff)
Jump to navigation Jump to search

Original file(950 × 1,178 pixels, file size: 342 KB, MIME type: image/jpeg)

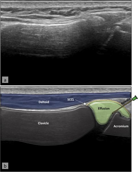
Acromioclavicular joint injection. The needle is inserted at the mid-line of the lateral edge and parallel to the probe, allowing it to be visualized entering the acromioclavicular joint. US image (a) with superimposed anatomy (b). From Plomb-Holmes et al., with permission.

File history

Click on a date/time to view the file as it appeared at that time.

Date/TimeThumbnailDimensionsUserComment
current22:08, 30 December 2019Thumbnail for version as of 22:08, 30 December 2019950 × 1,178 (342 KB)Alexandre.laedermann (talk | contribs)
  • You cannot overwrite this file.

The following page uses this file:

Metadata