Difference between revisions of "Diagnosis and Treatment of Thrower’s Shoulder"
| Line 86: | Line 86: | ||
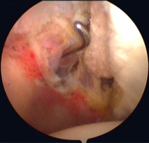
[[File:1562632306643-lg.jpg|center|thumb|600x600px|Figure. 6B Arthroscopic view (right shoulder) of a labral tear, elbow at side: confirming the medial pivot of the posterosuperior labrum around the posterosuperior glenoid rim.]] | [[File:1562632306643-lg.jpg|center|thumb|600x600px|Figure. 6B Arthroscopic view (right shoulder) of a labral tear, elbow at side: confirming the medial pivot of the posterosuperior labrum around the posterosuperior glenoid rim.]] | ||
| − | '''Theory of trauma by compression or distraction''' | + | ==== '''Theory of trauma by compression or distraction''' ==== |
| − | |||
In 1990, Snyder et al. classified superior labral tears, which they defined by the acronym SLAP (superior labral tear from anterior to posterior), still used today (Figure). | In 1990, Snyder et al. classified superior labral tears, which they defined by the acronym SLAP (superior labral tear from anterior to posterior), still used today (Figure). | ||
| Line 119: | Line 118: | ||
10. Jobe CM. Posterior superior glenoid impingement: expanded spectrum. Arthroscopy 1995;11:530-6. | 10. Jobe CM. Posterior superior glenoid impingement: expanded spectrum. Arthroscopy 1995;11:530-6. | ||
| − | Mechanical impingement theory: posterosuperior glenoid impingement or “internal impingement” | + | ==== '''Mechanical impingement theory: posterosuperior glenoid impingement or “internal impingement”''' ==== |
| − | |||
Walch et al. developed the theory of isolated posterosuperior impingement by publishing a series of 17 arthroscopies performed in athletes who demonstrated pain in the cocking phase but lacked concomitant instability. They explain this symptomatology by mechanical impingement repeated at 90% of abduction, maximum external rotation and retropulsion (maximum extension), between the greater tubercle and the posterosuperior glenoid rim, causing partial tears in the posterosuperior rotator cuff and the facing glenoid labrum (Figure, Movies). | Walch et al. developed the theory of isolated posterosuperior impingement by publishing a series of 17 arthroscopies performed in athletes who demonstrated pain in the cocking phase but lacked concomitant instability. They explain this symptomatology by mechanical impingement repeated at 90% of abduction, maximum external rotation and retropulsion (maximum extension), between the greater tubercle and the posterosuperior glenoid rim, causing partial tears in the posterosuperior rotator cuff and the facing glenoid labrum (Figure, Movies). | ||
| Line 129: | Line 127: | ||
| − | + | '''Posterosuperior impingement of Walch.''' | |
| − | [[File:1562632786773-lg.jpg|center|thumb|600x600px | + | [[File:1562632786773-lg.jpg|center|thumb|600x600px|Figure. 11 Walch’s theory of repeated mechanical impingement at 90 degrees of abduction, maximum external rotation and retropulsion (maximum extension), between the greater tubercle and the posterosuperior glenoid rim, causing partial-thickness tears in the posterosuperior rotator cuff and the facing glenoid labrum (which is ‘pinched’).]] |
| − | |||
| − | |||
| − | Figure. 11 Walch’s theory of repeated mechanical impingement at 90 degrees of abduction, maximum external rotation and retropulsion (maximum extension), between the greater tubercle and the posterosuperior glenoid rim, causing partial-thickness tears in the posterosuperior rotator cuff and the facing glenoid labrum (which is ‘pinched’). | ||
| Line 160: | Line 155: | ||
16. Davidson PA, Elattrache NS, Jobe CM, Jobe FW. Rotator cuff and posterior-superior glenoid labrum injury associated with increased glenohumeral motion: a new site of impingement. J Shoulder Elbow Surg 1995;4:384-90. | 16. Davidson PA, Elattrache NS, Jobe CM, Jobe FW. Rotator cuff and posterior-superior glenoid labrum injury associated with increased glenohumeral motion: a new site of impingement. J Shoulder Elbow Surg 1995;4:384-90. | ||
| − | + | ==== '''Hyperabduction theory''' ==== | |
| − | [[File:1562634000014-lg.jpg|center|thumb|600x600px]] | + | [[File:1562634000014-lg.jpg|center|thumb|600x600px|''Figure. 12 Christopher Jobe’s theory: the impingement is mainly due to hyperextension of the humerus relative to the scapula.'']] |
| − | + | '''Shoulder relocation test''' | |
| − | |||
| − | |||
| − | |||
{| class="wikitable" | {| class="wikitable" | ||
|+ | |+ | ||
| − | ![[File:1562634000418-lg.jpg|center|thumb| | + | ![[File:1562634000418-lg.jpg|center|thumb|400x400px|alt=]]A |
| − | ![[File:1562634000427-lg.jpg|center|thumb]]B | + | ![[File:1562634000427-lg.jpg|center|thumb|alt=|400x400px]]B |
|} | |} | ||
| − | ''Figure. 13 Pain is experienced during cocking (a) and recedes when anteroposterior pressure applied by the examiner releases the internal impingement (b).'' | + | ''<small>Figure. 13 Pain is experienced during cocking (a) and recedes when anteroposterior pressure applied by the examiner releases the internal impingement (b).</small>'' |
In 2002, Crockett et al. highlighted a torsional adaptation of the humerus in young throwing athletes during the acceleration phase of throwing, which results in humeral hyper-retroversion, delaying the onset of mechanical impingement on the dominant side. | In 2002, Crockett et al. highlighted a torsional adaptation of the humerus in young throwing athletes during the acceleration phase of throwing, which results in humeral hyper-retroversion, delaying the onset of mechanical impingement on the dominant side. | ||
| Line 182: | Line 174: | ||
18. Riand N, Levigne C, Renaud E, Walch G. Results of derotational humeral osteotomy in posterosuperior glenoid impingement. Am J Sports Med 1998;26:453-9. | 18. Riand N, Levigne C, Renaud E, Walch G. Results of derotational humeral osteotomy in posterosuperior glenoid impingement. Am J Sports Med 1998;26:453-9. | ||
| − | + | '''Derotational osteotomy''' | |
| − | [[File:1562634001433-lg.jpg|center|thumb|600x600px | + | [[File:1562634001433-lg.jpg|center|thumb|600x600px|''Figure. 14 Illustration of the principle of derotational osteotomy. Postoperatively, the repetitive contact between the posterior labrum and the rotator cuff is prevented.'']] |
| − | |||
| − | |||
| − | ''Figure. 14 Illustration of the principle of derotational osteotomy. Postoperatively, the repetitive contact between the posterior labrum and the rotator cuff is prevented.'' | ||
Whereas 80% of the patients were satisfied or very satisfied with reduced cocking pain, through release of the impingement, only 55% of them were able to resume their sport at the same level. This is ambitious surgery, requiring great motivation and understanding because a return to sports can be considered only after 6 months, and a return to the same performance level after 12 months. Repeat surgery is often necessary to remove hardware and/or release adhesions. The loss of internal rotation is on average 4 vertebrae (1 to 8), which the patient should be informed of preoperatively. The best results were reported in cases involving young, ambitious athletes with low humeral retroversion (<10 degrees preoperatively, the goal being to obtain 30 degrees retroversion postoperatively). Poor results were found in cases of hyperlaxity (a factor of poor shoulder stabilization), excessive preoperative retroversion (> 20 degrees) or overcompensation (responsible for anterior impingement between the lesser tubercle and the anterior glenoid), and undercompensation (<10 degrees). The authors reported complications in 30% of cases, including 4 of stiffness, 2 revisions (1 hematoma drainage and 1 nonunion) and 16 requiring hardware removal. | Whereas 80% of the patients were satisfied or very satisfied with reduced cocking pain, through release of the impingement, only 55% of them were able to resume their sport at the same level. This is ambitious surgery, requiring great motivation and understanding because a return to sports can be considered only after 6 months, and a return to the same performance level after 12 months. Repeat surgery is often necessary to remove hardware and/or release adhesions. The loss of internal rotation is on average 4 vertebrae (1 to 8), which the patient should be informed of preoperatively. The best results were reported in cases involving young, ambitious athletes with low humeral retroversion (<10 degrees preoperatively, the goal being to obtain 30 degrees retroversion postoperatively). Poor results were found in cases of hyperlaxity (a factor of poor shoulder stabilization), excessive preoperative retroversion (> 20 degrees) or overcompensation (responsible for anterior impingement between the lesser tubercle and the anterior glenoid), and undercompensation (<10 degrees). The authors reported complications in 30% of cases, including 4 of stiffness, 2 revisions (1 hematoma drainage and 1 nonunion) and 16 requiring hardware removal. | ||
| Line 192: | Line 181: | ||
19. Edwards B, Walch G. Posterosuperior glenoid impingement : Is microinstability really the problem ? Operative Techniques in Sports Medicine 2002;10:40-6. | 19. Edwards B, Walch G. Posterosuperior glenoid impingement : Is microinstability really the problem ? Operative Techniques in Sports Medicine 2002;10:40-6. | ||
| − | Functional theory | + | ==== Functional theory ==== |
| − | |||
In 1995, Kibler et al. introduced the concept of a kinetic chain encompassing all the body parts that participate in the throwing action, including the whipping movement developed by the shoulder muscles when playing tennis. He proposed that the leg-trunk unit behaves like a force actuator; the arm’s role is to deliver the stored energy and the shoulder acts as a regulator to suitably transmit velocity and energy. A good glenoid-to-humerus alignment allows maximum muscle efficiency, maximum glenoid-to-humerus compression, and frees the shoulder’s rotational movements which, when throwing, act like a catapult. Kibler et al. insist that the entire muscle chain must be strengthened to prevent injuries and increase efficiency. | In 1995, Kibler et al. introduced the concept of a kinetic chain encompassing all the body parts that participate in the throwing action, including the whipping movement developed by the shoulder muscles when playing tennis. He proposed that the leg-trunk unit behaves like a force actuator; the arm’s role is to deliver the stored energy and the shoulder acts as a regulator to suitably transmit velocity and energy. A good glenoid-to-humerus alignment allows maximum muscle efficiency, maximum glenoid-to-humerus compression, and frees the shoulder’s rotational movements which, when throwing, act like a catapult. Kibler et al. insist that the entire muscle chain must be strengthened to prevent injuries and increase efficiency. | ||
Revision as of 23:56, 4 January 2020
Written by Alexandre Lädermann
1. Reproduced from Barth J, Graveleau N, Jouve F, Barthélémy R. Diagnostic et traitement de l'épaule du lanceur. In: Société Française D'Arthroscopie PJ, Hulet C., ed. L’arthroscopie. Paris: Elsevier Masson; 2015, with permission.
Contents
- 1 Bullet points
- 2 Key words
- 3 Introduction
- 3.1 Arm cocking
- 3.2 Theories and controversies in the last 30 years explaining pain and pathogenesis
- 3.2.1 Anterior subacromial impingement theory
- 3.2.2 Microinstablity theory
- 3.2.3 Theory of microtrauma caused by repetitive biceps traction
- 3.2.4 Theory of trauma by compression or distraction
- 3.2.5 Mechanical impingement theory: posterosuperior glenoid impingement or “internal impingement”
- 3.2.6 Hyperabduction theory
- 3.2.7 Functional theory
Bullet points
- There are four major theories that have been used to explain pathology in the overhead athlete: Frank Jobe's micro-instability theory, Christopher Jobe’s hyperabuction theory, Walch's posterosuperior impingement theory, and Burkhart, Kibler, Morgan’s posterosuperior instability and superior labral tear from anterior to posterior (SLAP) lesion theory.
- Clinical examination must look for stiffness (in internal rotation: glenohumeral internal rotation deficit (GIRD) > 20 degrees), instability, rotator cuff pathology and other more specific SLAP tests (active compression, crank, speed, Dynamic Labral Shear test (O'Driscoll's test)).
- The anatomical assessment, ideally using simple radiographs and magnetic resonance arthrography (MRA), may be complemented by an isokinetic functional assessment looking for external rotator imbalance where the external to internal strength ratio is < 66%.
- Treatment is mostly conservative (and ideally preventive), involving a structured rehabilitation program: correction of athletic movements (keeping the elbow forward and avoiding excessive retropulsion to limit internal impingement, compact serve), range of motion recovery by ‘sleeper stretching’, and eccentric external rotator strengthening, ideally in isokinetic mode.
- The surgical indication must be rational and carefully thought-out because the results are often disappointing for the athlete. The idea is not to try to fix everything and to remember that many “findings” are in fact adaptations of the throwing athlete. It is thus important that every effort is made to identify the true cause of the pain.
- Surgical treatment is often ‘salvage’ in nature because, even if the published results show improved functional scores, only half of the patients return to the same sports level, whatever technique is used. Surgical treatment of concomitant tears can lead to stiffness, preventing a return to previous athletic performance.
- Full thickness rotator cuff repair often spell the end of a professional sports career.
Key words
Thrower’s shoulder; superior labral tear from anterior to posterior SLAP lesions; Labrum repair; Posterosuperior impingement; Arm cocking pain; Dead arm; Glenoplasty; Sleeper stretch; Arthrolysis.
Introduction
The subject of thrower’s shoulder is vague and the term needs elaboration. It is not clear what symptomatologies and pathologies and to which athletes does this term apply. It is not necessarily synonymous with superior labral tear from anterior to posterior (SLAP) tears or posterosuperior impingement.
An athlete will no doubt seek help when their performance is constrained by painful symptoms. Secondary phenomena may be involved, such as internal disturbances, cracking, strength loss, ‘dead arm syndrome’ (characterized by discomfort either after arm cocking or at the start of throwing). This discomfort can be more or less debilitating, ranging from a decrease in performance to complete cessation, or even the end of a professional career.
Athletes susceptible to these disorders are also not always strictly throwers, such as baseball pitchers. In fact, a contact component can also occur in tennis, volleyball, handball, water polo or rugby (arm cocking countered by an opponent). Thus, all sports that involve arm cocking can fit into this nosological framework (Figure).
Arm cocking
As to pathogenesis, too much importance has been attributed to superior labral tear from anterior to posterior (SLAP) lesions to explain these painful shoulders, so a classification of the numerous pathologies is essential for defining a therapeutic strategy.
There is not always a consensus between terminologies and theories worldwide. This is probably partly explained by the fact that there is a great cultural diversity between athletes from different countries. In fact, the literature has been flooded with articles evoking the pathologies developed by the baseball pitcher, a favorite sport in North America, while not mentioned at all in Europe, where contact sports like rugby or handball are more prolific. Faced with these very different terminologies and athletes, a practical classification, based on clinical, paraclinical and functional examinations, so as to discuss therapeutic options. Anatomic lesions must be differentiated from non-lesional dysfunction where preventive treatments are of great importance.
Theories and controversies in the last 30 years explaining pain and pathogenesis
Anterior subacromial impingement theory
Neer et al. were among the first to propose this theory, but Tibone et al. showed disappointing results for open acromioplasty, with only 22% of throwers resuming activity at the same performance level.
2. Neer CS, 2nd. Anterior acromioplasty for the chronic impingement syndrome in the shoulder: a preliminary report. J Bone Joint Surg Am 1972;54:41-50.
3. Tibone JE, Jobe FW, Kerlan RK, et al. Shoulder impingement syndrome in athletes treated by an anterior acromioplasty. Clin Orthop Relat Res 1985:134-40.
Microinstablity theory
In 1979, Frank Jobe et al. developed the ‘microinstability’ theory, in which anterior instability was caused by repetitive stretching of the anterior capsuloligamentous structures through repeated arm cocking movements. Although success has been reported in 68% of cases with capsular ligamentous retention procedures, the results of capsular tightening were mediocre.
4. Jobe FW, Giangarra CE, Kvitne RS, Glousman RE. Anterior capsulolabral reconstruction of the shoulder in athletes in overhand sports. Am J Sports Med 1991;19:428-34.
Frank Jobe’s theory
Theory of microtrauma caused by repetitive biceps traction
In 1985, Andrews et al. were the first to see, under arthroscopy, superior labral tears (Figure and Video) in 36 throwing athletes (sometimes associated with articular rotator cuff tears).
5. Andrews JR, Carson WG, Jr., McLeod WD. Glenoid labrum tears related to the long head of the biceps. Am J Sports Med 1985;13:337-41.
Articular rotator cuff tears
They reported that simple debridement allowed 85% of athletes to resume their sport at the same level (Figure and Video).
Simple labral debridement
The authors accounted for the labral tears by repeated biceps traction on its labral tendon attachment, progressively disinserting it from the superior glenoid rim (chronic microtrauma, Figure).
Mechanism of labral lesion
This progressive avulsion is taken-up by Burkhart et al. as the aptly termed ‘peel-back mechanism’ observed by reproducing the cocking phase under arthroscopic control, confirming the medial pivot of the posterosuperior labrum around the posterosuperior glenoid rim (Figure and Video).
6. Burkhart SS, Morgan CD. The peel-back mechanism: its role in producing and extending posterior type II SLAP lesions and its effect on SLAP repair rehabilitation. Arthroscopy 1998;14:637-40.
Peel-back mechanism
Theory of trauma by compression or distraction
In 1990, Snyder et al. classified superior labral tears, which they defined by the acronym SLAP (superior labral tear from anterior to posterior), still used today (Figure).
7. Snyder SJ, Karzel RP, Del Pizzo W, Ferkel RD, Friedman MJ. SLAP lesions of the shoulder. Arthroscopy 1990;6:274-9.
Snyder’s 4 stage classification of superior labral SLAP lesions.
It is however a retrospective study of 700 arthroscopies, performed between 1985 and 1988, with only 2 throwing athletes out of 27 patients having superior labral tear from anterior to posterior (SLAP) lesions (mainly type II, Figure, Video).
Illustration of a SLAP II lesion
Contrary to the theory of Andrews et al., Snyder et al. believe that the origin is essentially traumatic, according to two mechanisms: a fall stopped by the palm of the hand, arm outstretched (compressive force on the labrum, Figure) or a violent traction with extended arm (distractive force on the biceps and its labral attachment, Figure).
Origin of lesion with a compressive force on the labrum
Origin of the lesion with a distractive force
These two tear mechanisms have been confirmed in cadaveric models.
8. Bey MJ, Elders GJ, Huston LJ, Kuhn JE, Blasier RB, Soslowsky LJ. The mechanism of creation of superior labrum, anterior, and posterior lesions in a dynamic biomechanical model of the shoulder: the role of inferior subluxation. J Shoulder Elbow Surg 1998;7:397-401.
9. Clavert P, Bonnomet F, Kempf JF, Boutemy P, Braun M, Kahn JL. Contribution to the study of the pathogenesis of type II superior labrum anterior-posterior lesions: a cadaveric model of a fall on the outstretched hand. J Shoulder Elbow Surg 2004;13:45-50.
Snyder et al. also suggest the possibility of suturing the superior labrobicipital complex by transosseous techniques (anchors or staples) and they described numerous adjuvant pathologies (31% partial and full-thickness rotator cuff tears, 15% instabilities, 15% humeral head lesions, and 11% acromioclavicular arthropathies). Snyder et al, like Jobe et al. proposed that the mechanism is derived from Codman's theory, with a compressive force in posterosuperior translation caused by extension and external rotation of the arm leading to detachment of the labrobicipital complex. Depending on its severity, the trauma can lead to a simple bone contusion on the humeral head, anteroinferior capsular distension, rotator cuff tears, or even worse, to a displaced fracture of the greater tubercle.
10. Jobe CM. Posterior superior glenoid impingement: expanded spectrum. Arthroscopy 1995;11:530-6.
Mechanical impingement theory: posterosuperior glenoid impingement or “internal impingement”
Walch et al. developed the theory of isolated posterosuperior impingement by publishing a series of 17 arthroscopies performed in athletes who demonstrated pain in the cocking phase but lacked concomitant instability. They explain this symptomatology by mechanical impingement repeated at 90% of abduction, maximum external rotation and retropulsion (maximum extension), between the greater tubercle and the posterosuperior glenoid rim, causing partial tears in the posterosuperior rotator cuff and the facing glenoid labrum (Figure, Movies).
11. Walch G, Boileau P, Noel E, Donell ST. Impingement of the deep surface of the supraspinatus tendon on the posterosuperior glenoid rim: An arthroscopic study. J Shoulder Elbow Surg 1992;1:238-45.
Posterosuperior impingement of Walch.
The appeal of this theory is that it is validated by simple observation when reproducing cocking and retropulsion movements under arthroscopic control, revealing the tears by repeated contact (Video).
They propose treatment by simple debridement, but the results are not as good as those reported by Andrews et al. Sonnery-Cottet et al., in a series of tennis players, reported an 80% return to sport, but only 50% at the same level.
12. Sonnery-Cottet B, Edwards TB, Noel E, Walch G. Results of arthroscopic treatment of posterosuperior glenoid impingement in tennis players. Am J Sports Med 2002;30:227-32.
In a series of 75 throwing athletes with posterosuperior glenoid impingement, arthroscopic debridement was disappointing, with a return to the same sports level in only 16%. The authors found 89% partial rotator cuff tears, 90% labral tears (all posterior, except 3), as well as osteochondral tears affecting the glenoid or humeral head. No bicipital tears were found in this series.
13. Riand N, Boulahia A, Walch G. [Posterosuperior impingement of the shoulder in the athlete: results of arthroscopic debridement in 75 patients]. Rev Chir Orthop Reparatrice Appar Mot 2002;88:19-27.
Unlike Frank Jobe et al and Burkhart et al., Walch et al. and Lädermann et al. could not confirm any form of micro-instability. Instead, Walch et al. based their argument on the fact that of 1000 instability cases operated, only 10 had concomitant posterosuperior impingement.
14. Edwards B, Walch G. Posterosuperior glenoid impingement : Is microinstability really the problem ? Operative Techniques in Sports Medicine 2002;10:40-6.
Using a precise and dynamically in-vivo motion analysis of the entire kinematic chain of the shoulder, Lädermann et al. did not observed antero-inferior or static posterosuperior instability.
15. Lädermann A, Chague S, Kolo FC, Charbonnier C. Kinematics of the shoulder joint in tennis players. Journal of science and medicine in sport 2016;19:56-63.
In 1995, Davidson et al. took up this theory and showed how hyper-rotation (hyperabduction) and anterior humeral translation act as the trigger mechanism for pain, and explain how the shoulder relocation test (described by Jobe et al.) reduces pain by releasing the internal impingement (Figures).
16. Davidson PA, Elattrache NS, Jobe CM, Jobe FW. Rotator cuff and posterior-superior glenoid labrum injury associated with increased glenohumeral motion: a new site of impingement. J Shoulder Elbow Surg 1995;4:384-90.
Hyperabduction theory
Shoulder relocation test
| A | B |
|---|
Figure. 13 Pain is experienced during cocking (a) and recedes when anteroposterior pressure applied by the examiner releases the internal impingement (b).
In 2002, Crockett et al. highlighted a torsional adaptation of the humerus in young throwing athletes during the acceleration phase of throwing, which results in humeral hyper-retroversion, delaying the onset of mechanical impingement on the dominant side.
17. Crockett HC, Gross LB, Wilk KE, et al. Osseous adaptation and range of motion at the glenohumeral joint in professional baseball pitchers. Am J Sports Med 2002;30:20-6.
It is a positive and protective adaptation. Of the 45 arthroscopic debridement failures, Walch et al. then proposed 20 humeral derotational osteotomies, the results of which were reported by Riand et al. (Figures).
18. Riand N, Levigne C, Renaud E, Walch G. Results of derotational humeral osteotomy in posterosuperior glenoid impingement. Am J Sports Med 1998;26:453-9.
Derotational osteotomy
Whereas 80% of the patients were satisfied or very satisfied with reduced cocking pain, through release of the impingement, only 55% of them were able to resume their sport at the same level. This is ambitious surgery, requiring great motivation and understanding because a return to sports can be considered only after 6 months, and a return to the same performance level after 12 months. Repeat surgery is often necessary to remove hardware and/or release adhesions. The loss of internal rotation is on average 4 vertebrae (1 to 8), which the patient should be informed of preoperatively. The best results were reported in cases involving young, ambitious athletes with low humeral retroversion (<10 degrees preoperatively, the goal being to obtain 30 degrees retroversion postoperatively). Poor results were found in cases of hyperlaxity (a factor of poor shoulder stabilization), excessive preoperative retroversion (> 20 degrees) or overcompensation (responsible for anterior impingement between the lesser tubercle and the anterior glenoid), and undercompensation (<10 degrees). The authors reported complications in 30% of cases, including 4 of stiffness, 2 revisions (1 hematoma drainage and 1 nonunion) and 16 requiring hardware removal.
19. Edwards B, Walch G. Posterosuperior glenoid impingement : Is microinstability really the problem ? Operative Techniques in Sports Medicine 2002;10:40-6.
Functional theory
In 1995, Kibler et al. introduced the concept of a kinetic chain encompassing all the body parts that participate in the throwing action, including the whipping movement developed by the shoulder muscles when playing tennis. He proposed that the leg-trunk unit behaves like a force actuator; the arm’s role is to deliver the stored energy and the shoulder acts as a regulator to suitably transmit velocity and energy. A good glenoid-to-humerus alignment allows maximum muscle efficiency, maximum glenoid-to-humerus compression, and frees the shoulder’s rotational movements which, when throwing, act like a catapult. Kibler et al. insist that the entire muscle chain must be strengthened to prevent injuries and increase efficiency.
20. Kibler WB. Biomechanical analysis of the shoulder during tennis activities. Clinics in sports medicine 1995;14:79-85.
They also recommend conservative treatment, relying on numerous unpublished publications (from the late 1980s till present), dominated mainly by the analysis of baseball pitchers.
21. Kibler WB, Kuhn JE, Wilk K, et al. The disabled throwing shoulder: spectrum of pathology-10-year update. Arthroscopy 2013;29:141-61 e26.
In a 2013 article, Kibler et al. further refined their analysis based on their well-known and widely circulated protocol. They review all dysfunctions to be corrected, insist on the value of rehabilitation and recommend caution before considering surgery because the tears are often adaptive.
Since surgery rarely allows return to sports at the same level, prevention plays an important part. Kibler et al. are very critical when analyzing the results of surgical treatment, which are highly variable, probably due to the very different selection of patients from one author to another, but there is also no precise postoperative follow-up of the tears treated, their localization, concomitant pathologies, and the type of postoperative rehabilitation protocol. Patient motivation is also difficult to gauge. It is therefore important to identify shoulders at risk, typically where one shoulder is lower than the other, with internal or glenohumeral rotation deficits (Figure) and scapular dysfunctions or ‘SICK scapula’ (please refer to clinical examination).
Figure. 15 Internal rotational deficit or glenohumeral internal rotation deficit (GIRD) and increased total range of motion deficit total range of motion deficit with external hyperrotation at the expense of internal hyporotation. Glenohumeral internal rotation deficit (GIRD) > 20 degrees characterize a shoulder at risk.
Scapulothoracic dyskinesia is characterized by detachment of the medial scapular rim, observing the comparative posterior scapulothoracic movements, while the patient raises and lowers both upper limbs in the scapular plane. Stiffness of the pectoralis minor can also be identified. Kibler et al. show that glenohumeral internal rotation deficit (GIRD) and SICK (please refer Clinical Examination/Inspection section) disrupt glenohumeral kinematics. They establish a direct relationship between these dysfunctions and the occurrence of tears, although it is not known how they are causally linked. But they do indicate a strong correlation with increased risk of injury, and that preventive rehabilitation reduces these risks.
22. Kibler WB, Kuhn JE, Wilk K, et al. The disabled throwing shoulder: spectrum of pathology-10-year update. Arthroscopy 2013;29:141-61 e26.
For example, preventive internal rotation stretching (Figure) reduces the risk of injury by 38%.
23. Burkhart SS, Morgan CD, Kibler WB. The disabled throwing shoulder: spectrum of pathology. Part II: evaluation and treatment of SLAP lesions in throwers. Arthroscopy 2003;19:531-9.
Figure: Sleeper stretch
Regarding motion of the glenohumeral joint, the range in internal and external rotation should remain constant between the dominant and the non-dominant arm, with a shift in the external rotation sector of the dominant arm in overhead throwers (Figure).
24. Burkhart SS, Morgan CD, Kibler WB. The disabled throwing shoulder: spectrum of pathology Part I: pathoanatomy and biomechanics. Arthroscopy 2003;19:404-20.
The rotational 180 degrees rule has not been confirmed (Figure), as the mean values of the range of motion is around twice smaller in tennis and handball players.
25. Lädermann A, Chague S, Kolo FC, Charbonnier C. Kinematics of the shoulder joint in tennis players. Journal of science and medicine in sport 2016;19:56-63.
26. Levigne C, Garret J, Grosclaude S, Borel F, Walch G. Surgical technique arthroscopic posterior glenoidplasty for posterosuperior glenoid impingement in throwing athletes. Clin Orthop Relat Res 2012;470:1571-8.
Figure: Total range of motion
Even if, in order to increase throwing power, the athlete moves their total rotational range of motion towards an external hyper-rotation, at the expense of internal rotation. In comparative terms, a GIRD > 20 degrees and a total range of motion asymmetry > 5 degrees represent a shoulder at risk.
The deceleration phase after throwing is the movement most likely to initiate tears. The main role of the external rotators is to brake and dissipate all the energy accumulated during the acceleration phase, which is transmitted by the rotation of the trunk and lower limbs and concentric internal rotators. It is therefore in eccentric contraction that the external rotators will play this part.Repeated eccentric overload stresses result in intramuscular microtears with chronic inflammation, leading to progressive loss of strength and breaking power; hence the imbalance between the external rotators to internal rotators ratio and the occurrence of injuries. Internal rotators work differently because they are stretching during the cocking phase and concentrically contracting during the acceleration phase.
27. Byram IR, Bushnell BD, Dugger K, Charron K, Harrell FE, Jr., Noonan TJ. Preseason shoulder strength measurements in professional baseball pitchers: identifying players at risk for injury. Am J Sports Med 2010;38:1375-82.
The vast majority of studies show ratios unfavorable to external rotators on the dominant side, between 0.6 and 0.8. In asymptomatic throwers, the internal rotators are stronger than the external rotators on the dominant side, with an average external rotators to internal rotators ratio of 2:3 (ranging from 60% to 80%). Byram et al., in a population of professional baseball pitchers, showed that external rotator weakening (with a low external rotators to internal rotators ratio) significantly increases the likelihood of injury. It is therefore important to rebalance these ratios by strengthening the external rotators to prevent injuries. In case of pain, Wilk et al. recommend a minimum ratio of 66% to allow recovery.
28. Byram IR, Bushnell BD, Dugger K, Charron K, Harrell FE, Jr., Noonan TJ. Preseason shoulder strength measurements in professional baseball pitchers: identifying players at risk for injury. Am J Sports Med 2010;38:1375-82.
29. Mikesky AE, Edwards JE, Wigglesworth JK, Kunkel S. Eccentric and concentric strength of the shoulder and arm musculature in collegiate baseball pitchers. Am J Sports Med 1995;23:638-42.
30. Wilk KE, Andrews JR, Arrigo CA, Keirns MA, Erber DJ. The strength characteristics of internal and external rotator muscles in professional baseball pitchers. Am J Sports Med 1993;21:61-6.
Proprioception is more difficult to quantify than range of motion and muscle strength, but some studies have shown that external hyper-rotation, hyperlaxity and repeated trauma to the joint capsule on the thrower’s dominant side are accompanied by worsening spatial perception of the limb, that can explain loss of control injuries.
31. Allegrucci M, Whitney SL, Lephart SM, Irrgang JJ, Fu FH. Shoulder kinesthesia in healthy unilateral athletes participating in upper extremity sports. The Journal of orthopaedic and sports physical therapy 1995;21:220-6.
32. Blasier RB, Carpenter JE, Huston LJ. Shoulder proprioception. Effect of joint laxity, joint position, and direction of motion. Orthop Rev 1994;23:45-50.
Some authors, such as Kibler et al. or Wilk et al. recommend specific, preventive or curative rehabilitation (pre- or postoperative, using a protocol of stretching, proprioception and muscle strengthening).
33. Kibler WB, Kuhn JE, Wilk K, et al. The disabled throwing shoulder: spectrum of pathology-10-year update. Arthroscopy 2013;29:141-61 e26.
34. Wilk KE, Andrews JR, Arrigo CA, Keirns MA, Erber DJ. The strength characteristics of internal and external rotator muscles in professional baseball pitchers. Am J Sports Med 1993;21:61-6.
Theory of the cascade of pathological events or posterosuperior instability and superior labral tear from anterior to posterior (SLAP) lesion pathogenesis.
Starting in 1998, Burkhart, Morgan and Kibler collaborated on a consensual explanation unifying the abovementioned findings. The authors constructed a rational, biomechanical interpretation in the form of a cascade of events involving all the symptoms and tears in thrower’s shoulder. They summarized all the throwing athlete’s dysfunctions and pathologies and conceptualized a theory which, while certainly rational, remains very theoretical because the lack of validation on cadaveric or clinical models (difficult to achieve) make it unverifiable. Nevertheless, they reject both the micro-instability and biomechanical impingement theories.
35. Burkhart SS, Morgan CD, Kibler WB. The disabled throwing shoulder: spectrum of pathology Part I: pathoanatomy and biomechanics. Arthroscopy 2003;19:404-20.
36. Burkhart SS, Morgan CD, Kibler WB. Shoulder injuries in overhead athletes. The "dead arm" revisited. Clinics in sports medicine 2000;19:125-58.
Suprascapular neuropathy in repetitive overhead athletes
This subsection does not exist. You can ask for it to be created, but consider checking the search results below to see whether the topic is already covered.
Long thoracic nerve injury in repetitive overhead athletes
This subsection does not exist. You can ask for it to be created, but consider checking the search results below to see whether the topic is already covered.
Swimmer Shoulder
This subsection does not exist. You can ask for it to be created, but consider checking the search results below to see whether the topic is already covered.
Diagnosis
Anamnesis
In order to understand the often-multifactorial origin of the problem, a lengthy consultation with the patient is required. The patient’s age, gender, dominant side, and motivation; the type of sport, the performance level and the professional aspect are already vital indicators. Next, is to understand the onset: was it a single trauma (compressive or distractive), repeated microtrauma (cocking and throwing), or progressive (chronic) without trauma. A technopathy should be considered, by asking patients what equipment they use (recent change of racquet, etc.). All previous treatments (conservative and surgical) must be meticulously explained. Merely noting whether patients had rehabilitation is insufficient, because there is a considerable difference between a simple electrotherapy with massages and a complete Kibler protocol.
Clinical examination
The clinical examination must be thorough, especially as a guide to other different diagnoses, such as headaches, instability, acromioclavicular pathology, upper limb neuropathies, vascular disorders of the cervicothoracic junction, and problems of cervical origin and osteopathic disturbances, which do not fit into this nosological framework.
Inspection
The following must be checked: A shoulder that is ‘too low’; Atrophy (supra- or infraspinous fossa) suggesting a neurological diagnosis; Scapulothoracic dyskinesia (SICK scapula; S: Scapular malposition, I: Inferior medial corner prominence, C: Coracoid pain and malposition, K: Kinesis abnormalities of scapular movements30). Static scapular malposition in 3 directions in reference with contralateral shoulder (Figure): Inferior: difference in vertical height (cm) Lateral: difference in lateral displacement (cm) Abduction: difference in angular degrees of medial scapular margin from plumb midline
Figure: SICK scapula
The patient must give an exact description of the sporting movement, directly or with videos, to identify the phase in which pain occurs (cocking, throwing or both).
Palpation
Examination of cervical vertebrae and search for a minor intervertebral osteopathic disorder. Palpation of the acromioclavicular joint, coracoid and bicipital groove.
Evaluation of mobility of other articular joints in the body
The back and legs should be examined, including lumbar mobility, especially the internal rotation of the contralateral hip, and concluded in the single-leg stance. A complete physiotherapy assessment can help define muscle weakness for example.
Non-specific tests
Anterior subacromial impingement tests may prove false-positive. During rotator cuff testing, frequently there is pain and loss of strength in Jobe's maneuver, more rarely in Patte’s maneuver or in resisted external rotation (ER1). Signs of hyperlaxity (indicate a bad prognosis). Instability tests can be painful, but usually give no clear apprehension or subluxation. Relocation test is usually positive in posterosuperior impingement (Figure).
Figure: Relocation test.
37. Jobe F, Tibone J, Jobe C, Kvitne R. The shoulder in sports. In: Rockwood CA MF, eds. , ed. The shoulder. Philadelphia: WB Saunders; 1990:961-90.
Articular range of motion tests
The patient must be examined not only in the standing position, but also supine on a table in order to block scapulothoracic movements, and look for: All amplitudes (anterior elevation, abduction-internal rotation, ER1, ER2, IR2); Glenohumeral internal rotation deficit (GIRD) > 20 degrees and total range of motion deficit > 5 degrees in the comparative examination.
Specific tests for superior labral tear from anterior to posterior (SLAP) lesions
The literature is particularly rich on this subject, with almost as many different tests as publications. Despite the often-flattering initial reliability of their promoters, it should be noted that few of these tests are used by other practitioners. Meserve et al., In their 2009 meta-analysis, retain only 6 valid articles out of 198 initially identified (defined by the presence of a descriptive MRI, arthroscopic or arthrotomy reference to the tear, a test used by at least two authors, and the exclusion of cadaveric studies). In the end only the three best tests were retained, which could be consequently adopt.
38. Meserve BB, Cleland JA, Boucher TR. A meta-analysis examining clinical test utility for assessing superior labral anterior posterior lesions. Am J Sports Med 2009;37:2252-8.
Dynamic Labral Shear test (O’Driscol test)
Shoulder is placed in the extreme abducted and externally rotated position. From this position a valgus stress is applied and a positive response is signified by pain at the shoulder.
39. Cook C, Beaty S, Kissenberth MJ, Siffri P, Pill SG, Hawkins RJ. Diagnostic accuracy of five orthopedic clinical tests for diagnosis of superior labrum anterior posterior (SLAP) lesions. J Shoulder Elbow Surg 2012;21:13-22.
Active compression test (better known as O’Brien’s test)
It is an active elevation against resistance, with the patient standing, shoulder flexed at 90 degrees and adducted at 15 degrees, elbow extended (Figure). The test is considered positive if there is pain in pronation but not in supination. This is the most sensitive (47% to 78%), but the least specific (11% to 73%) test. When testing negative, a superior labral tear from anterior to posterior (SLAP) lesion is very unlikely.
Figure: Active compression test (O’Brien test).
Crank test
The examiner stabilizes the scapula with one hand and keeps the elbow flexed at 90 degrees with the other, applying centripetal force in the humeral axis at 160 degrees abduction, applying small medial and lateral rotational movements. Pain indicates a positive test. Sensitivity varies from 13% to 58% with specificity varying from 56% to 83% depending on the study. A positive result for this test, in addition to the O'Brien test, reinforces the diagnostic suspicion of superior labral tear.
Figure: Crank test.
Speed or Palm-up test
This is a resisted elevation test in the scapular plane in supination at 90 degrees of elevation (Figure). Pain indicates a positive test. This is the least sensitive (4% to 48%) but also the most specific (67% to 99%) test. A negative result therefore indicates the unlikelihood of superior labral tear, but a positive result in all three tests is pathognomonic of a superior labral tear from anterior to posterior (SLAP) lesion.
Figure: Speed test or palm-up test.
Kim’s test
Also worthy of mention is Kim's test (Figure), which seems promising but needs to be validated. The patient is supine with the arm abducted at 120 degrees. The examiner takes the patient's wrist with one hand and the elbow flexed at 90 degrees in the other. The shoulder is brought into external rotation. The patient is then asked to flex his elbow against resistance. Deep pain indicates the presence of a superior labral tear from anterior to posterior (SLAP) lesion.
40. Kim SH, Ha KI, Ahn JH, Kim SH, Choi HJ. Biceps load test II: A clinical test for SLAP lesions of the shoulder. Arthroscopy 2001;17:160-4.
Figure: Kim test
Swimmer Shoulder
There is globally a high incidence of SLAP tears in people over the age of 40 as well as a high incidence of incidental lesions in professional baseball pitchers. This should be always taken into account when analysing images.
X-ray
Simple radiographic examination is comprised of three views (anteroposterior, Lamy and Bernageau views) Condensation or bone cysts on the greater tubercle and glenoid rim should be investigated for previous posterosuperior impingements (Figure).
Figure: Radiological signs found on X-rays.
Ultrasonography (US)
Posterior internal impingement occurs often in overhead athletes and involves pinching of the supra- and infraspinatus tendons with the posterosuperior portion of the glenoid labrum when the shoulder is in abduction/external rotation/hyperextension. Dynamic imaging of this pathological impaction is carried out with the patient’s arm adducted and making external and internal rotation movements (Figure).
Computed tomography (CT) and magnetic resonance arthrography (MRA)
Examinations using intra-articular injection of a contrast medium (CT and MRA) are more reliable than simple MRI to visualize labral lesions and articular rotator cuff lesions (Figures).
Figure: Findings on computer tomography (CT).
Figure : MRA finding
Figure: Magnetic resonance arthrography (MRA) finding
Magnetic resonance arthrography (MRA) is standard, because it can also reveal the possible presence of a paraglenoid cyst (Figure) communicating with a labral tear, while allowing analysis of any concomitant tears (rotator cuff, osteochondral), and eliminate other causes of pain (acromioclavicular arthropathy, subacromial bursitis, tears relating to a painful and unstable shoulder).
Reliability depends on both machine and operator efficacy, but Jung et al. report a sensitivity of 85% and a specificity of 86% for superior labral tears.
41. Jung JY, Yoon YC, Choi SH, Kwon JW, Yoo J, Choe BK. Three-dimensional isotropic shoulder MR arthrography: comparison with two-dimensional MR arthrography for the diagnosis of labral lesions at 3.0 T. Radiology 2009;250:498-505.
ABER position further improve sensitivity.
42. Choi JY, Kim SH, Yoo HJ, et al. Superior labral anterior-to-posterior lesions: comparison of external rotation and active supination CT arthrography with neutral CT arthrography. Radiology 2012;263:199-205.
Isokinetic assessment
Isokinetic studies (Figure) now permit objective quantification of internal and external rotational forces, and especially the definition of ratios for comparative purposes.
43. Codine P, Bernard PL, Pocholle M, Herisson C. [Isokinetic strength measurement and training of the shoulder: methodology and results]. Annales de readaptation et de medecine physique : revue scientifique de la Societe francaise de reeducation fonctionnelle de readaptation et de medecine physique 2005;48:80-92.
44. Gozlan G, Bensoussan L, Coudreuse JM, et al. [Isokinetic dynamometer measurement of shoulder rotational strength in healthy elite athletes (swimming, volley-ball, tennis): comparison between dominant and nondominant shoulder]. Annales de readaptation et de medecine physique : revue scientifique de la Societe francaise de reeducation fonctionnelle de readaptation et de medecine physique 2006;49:8-15.
A mechanical isokinetic assessment, while not perfectly simulating throwing conditions, does ensure a reliable, reproducible method for analyzing ratios and their imbalance, with linear tracking over time (to track progress, etc.). It is of major interest because it must be standardized, just as the articular amplitudes must be perfectly symmetrical before considering surgery or return to sports (with or without surgery).
Arthroscopic assessment
Advanced imaging reduces the usefulness of arthroscopic assessment, which should be reserved for very demanding and motivated patients, to ensure that there are no previously unknown tears. The arm must remain free in order to perform the dynamic cocking maneuver while looking for impingement.
Treatment
Technopathy and sports technique correction
Tennis coaches have begun to modify the service action in such a way as to minimize the damage it causes. This is exemplified by Roddick’s compact service, which replaced the more extended McEnroe service. Walch et al. insist on suppressing hyperabduction (the arm segment must remain in front of the scapular girdle, and no longer move backwards).
Rehabilitation
The fight against stiffness
All ranges of movement must be recovered, especially internal rotation at 90 degrees of abduction (IR2), by teaching the patient self-stretching exercises such as ‘sleeper-stretching’ (Figure).
Rebalancing the force ratios (external/internal rotators)
Strengthening of the external rotators should be concentric and eccentric using elastics or weights, as described in some protocols depending on the results of the isokinetic analysis (Figure).
Proprioception
Proprioception can be worked on with ball exercises (Figure).
Surgery
Arthroscopic debridement
Debridement of the labrum (Video) and superficial rotator cuff tears renders varying results depending on the author, ranging from 16% for Riand et al. to 85% for Andrews et al.. Labral tears can be left repaired (Figure), rotator cuff tears should not be repaired.
45. Riand N, Boulahia A, Walch G. [Posterosuperior impingement of the shoulder in the athlete: results of arthroscopic debridement in 75 patients]. Rev Chir Orthop Reparatrice Appar Mot 2002;88:19-27.
46. Andrews JR, Carson WG, Jr., McLeod WD. Glenoid labrum tears related to the long head of the biceps. Am J Sports Med 1985;13:337-41.
Arthroscopic arthrolysis
Capsulotomy of the posteroinferior capsule described by Burkhart et al. seems a reasonable option in cases of recalcitrant glenohumeral internal rotation deficit (GIRD), but no isolated capsulotomy study has been conducted to analyze the exact purpose of this surgery. Rehabilitation (sleeper stretching) usually suffices.
47. Burkhart SS, Morgan CD, Kibler WB. The disabled throwing shoulder: spectrum of pathology. Part II: evaluation and treatment of SLAP lesions in throwers. Arthroscopy 2003;19:531-9.
Postero-superior glenoidplasty
Posterosuperior glenoidplasty described by Levigne et al. (Figures and Movie) seems to show good results for posterosuperior biomechanical impingement, when posterior osteophytes are clearly visible on the computed tomography (CT) scan.
48. Levigne C, Garret J, Grosclaude S, Borel F, Walch G. Surgical technique arthroscopic posterior glenoidplasty for posterosuperior glenoid impingement in throwing athletes. Clin Orthop Relat Res 2012;470:1571-8.
49. Lévigne C, Garret J, Borel F, Walch G. Glénoplastie postérieure sous arthroscopie pour conflit glénoïdien postérosupérieur. Rev Chir Orthop Reparatrice Appar Mot 2007;93:37.
Insert Video
Figure: Glenoidplasty
Figure. 35 Arthroscopic view of a right shoulder through an anterolateral portal. Bone spicules on the posterosuperior glenoid rim.
Figure: Glenoidplasty
Treatment consists of a simple labral resection and liberal milling of the osteophytes and glenoid rim. This minimally invasive and risk-free technique seems very useful, with very good recovery rates at the same sporting level (73%). There are no major complications (notably osteoarthritis or secondary posterior instability at a mean follow-up of 49 months).
50. Levigne C, Garret J, Grosclaude S, Borel F, Walch G. Surgical technique arthroscopic posterior glenoidplasty for posterosuperior glenoid impingement in throwing athletes. Clin Orthop Relat Res 2012;470:1571-8.
Arthroscopic repair of superior labral tear from anterior to posterior (SLAP) lesions
Please refer also to SLAP chapter.
Sayde et al. reported the results of superior labral tear from anterior to posterior (SLAP) II repairs in a 2012 meta-analysis referencing 14 articles published in English. Inclusion criteria were: minimum of 2 years follow-up, assessment of patient satisfaction and/or a return to the same level of sports, superior labral tear from anterior to posterior (SLAP) II tears without associated pathology. Most authors used resorbable implants with knot sutures that seem to give better results. The average follow-up varied from 12 to 44 months. Labral repairs led to good or excellent results in 65% to 95% of cases. On the other hand, surprisingly, analysis of sports recovery at the same performance level was only studied in half the articles, especially since this parameter is always more disappointing than the clinical results with, according to the authors, 44% to 95% of athletes resuming their activity at the same level. Therefore, repairing superior labral tear from anterior to posterior (SLAP) lesions does not seem to solve the problem for throwing athletes.
51. Sayde WM, Cohen SB, Ciccotti MG, Dodson CC. Return to play after Type II superior labral anterior-posterior lesion repairs in athletes: a systematic review. Clin Orthop Relat Res 2012;470:1595-600.
Gobezie et al. showed a very large variability in the pathogenic role and treatment of superior labral tear from anterior to posterior (SLAP) lesions according to the experts interviewed.
Superior labral tear from anterior to posterior (SLAP) lesions are often adaptations for the thrower (such as increased humeral retroversion) to increase external rotation. Repairing these tears is equivalent to stiffening them and limiting external rotation that allows high-velocity throwing. This explains the poor results of combined repairs (SLAP + rotator cuff) that can end the player's career.
A North American study sounded the alarm during a spate of repairs to superior labral tear from anterior to posterior (SLAP) lesions, which in just 20 years tripled from 3.3% (in Snyder's original study) to 9.4%.
52. Weber SC, Martin DF, Seiler JG, 3rd, Harrast JJ. Superior labrum anterior and posterior lesions of the shoulder: incidence rates, complications, and outcomes as reported by American Board of Orthopedic Surgery. Part II candidates. Am J Sports Med 2012;40:1538-43.
Weber et al. even refer to inappropriate surgical indications sometimes involving serious complications, with very unexceptional results.48 The indication could be justified on a real isolated superior labral tear from anterior to posterior (SLAP) II lesion in a patient aged under 30 years having perfectly healthy biceps, or in cases of a painful spinoglenoid cyst. Youm et al. and then Schroder et al. (on a very large series of 42 patients) showed complete regression of the cysts (and therefore the painful symptoms) by repairing only the labral tears without performing any marsupialization of the cyst, which can be dangerous because of its attachment to the suprascapular nerve.
53. Youm T, Matthews PV, El Attrache NS. Treatment of patients with spinoglenoid cysts associated with superior labral tears without cyst aspiration, debridement, or excision. Arthroscopy 2006;22:548-52.
54. Schroder CP, Skare O, Stiris M, Gjengedal E, Uppheim G, Brox JI. Treatment of labral tears with associated spinoglenoid cysts without cyst decompression. J Bone Joint Surg Am 2008;90:523-30.
Surgical (Operative) Technique
Figure: Arthroscopic SLAP II repair
Figure. 37 Arthroscopic SLAP II repair (right shoulder) using the posterior approach (soft point) and knotless anchors. a) Overview of a SLAP II lesion with posterior extension. b) Palpation of a sulcus > 5mm deep. c) Careful bone sharpening. d) Wire threaded by a ‘shuttle relay’ introduced via the Neviaser approach. e) Drilling the anchor-receiving hole. f) Placing the anchor (knotless) to fix the tear backwards. h) Threading a second wire using Bird Peak pliers, introduced by the anterior approach. h) Final assembly.
The beach-chair or supine position, with the arm free and not in traction, allows for dynamic tests under arthroscopic control; traction is then optional. The posterior approach (soft point) is lower than usual and slightly lateral, allowing a good view of the posterior labrum. The anterior approach in the rotator interval allows the insertion of a probe to confirm the need for repair. There are three signs required for positive arthroscopic diagnosis of a superior labral tear from anterior to posterior (SLAP) II lesion: a positive peel-back sign during dynamic cocking (the arm is abducted at 90 degrees and externally rotated at 90 degrees), a sublabral sulcus palpation > 5mm deep and a mobile labrobicipital complex. Two secondary instrumental incisions may be performed as required, using a small sleeve (spear guide < 4 mm), which is less traumatic for the rotator cuff and allows threading of anchors. The antero-lateral approach facilitates antero-superior anchoring of the glenoid rim (with an approach angle of 45 degrees) and the posterolateral Wilmington approach (1 cm from the posterolateral acromion angle and 1cm forward) allowing an angle of approach of 45 degrees to the posterosuperior angle of the glenoid).
55. Lo IK, Lind CC, Burkhart SS. Glenohumeral arthroscopy portals established using an outside-in technique: neurovascular anatomy at risk. Arthroscopy 2004;20:596-602.
A specific ancillary procedure using a pointed guide bush maintains the alignment of the instruments and anchor, and quick detection of the incision paths between each surgical step. A motorized burr is used anteriorly to sharpen the superior glenoid rim without removing the bone. One or two small-diameter (3 mm) resorbable anchors with two colored threads are introduced beneath and behind the biceps. Correct alignment of these implants is essential to limit the risk of detachment and to avoid cartilage lesions to the humeral head and glenoid. Wires are threaded through secondary incisions or a modified Neviaser approach, so as to eliminate the peal-back sign.
56. Nord KD, Masterson JP, Mauck BM. Superior labrum anterior posterior (SLAP) repair using the Neviaser portal. Arthroscopy 2004;20 Suppl 2:129-33.
Biceps tenodesis under arthroscopic control
Please refer also to biceps tenodesis chapter.
Boileau et al. propose tenodesis of the biceps as an alternative to repairing superior labral tear from anterior to posterior (SLAP) lesions, with satisfactory results, thereby challenging the usefulness of preserving the function of the intra-articular portion of the long head of the biceps, so favored by American authors.
57. Boileau P, Parratte S, Chuinard C, Roussanne Y, Shia D, Bicknell R. Arthroscopic treatment of isolated type II SLAP lesions: biceps tenodesis as an alternative to reinsertion. Am J Sports Med. 2009 May;37(5):929-36
58. Rojas IL, Provencher MT, Bhatia S, et al. Biceps activity during windmill softball pitching: injury implications and comparison with overhand throwing. Am J Sports Med 2009;37:558-65.
The complexity of reproducing the anatomical attachment of the superior labrobicipital complex, with its large individual variability, and the natural degenerative evolution of the labrum, especially in patients aged over 30, favors tenodesis in patients over 35 years of age, or with concomitant injuries to the rotator cuff, biceps etc.). The reader may refer to the tenodesis chapter for the technical aspect.
59. Pfahler M, Haraida S, Schulz C, et al. Age-related changes of the glenoid labrum in normal shoulders. J Shoulder Elbow Surg 2003;12:40-52.
60. De Maeseneer M, Van Roy F, Lenchik L, et al. CT and MR arthrography of the normal and pathologic anterosuperior labrum and labral-bicipital complex. Radiographics : a review publication of the Radiological Society of North America, Inc 2000;20 Spec No:S67-81.
61. Vangsness CT, Jr., Jorgenson SS, Watson T, Johnson DL. The origin of the long head of the biceps from the scapula and glenoid labrum. An anatomical study of 100 shoulders. J Bone Joint Surg Br 1994;76:951-4.
62. Denard PJ, Lädermann A, Parsley BK, Burkhart SS. Arthroscopic biceps tenodesis compared with repair of isolated type II SLAP lesions in patients older than 35 years. Orthopedics. 2014 Mar;37(3):e292-7
Arthroscopic rotator cuff repair
If the aim is a return to sports activity at the same level, the literature reports better results for debridement rather than repair. There is, however, a selection bias. It seems that the indication for repair relates more to the size of the partial-thickness articular tear (> 50% of its insertion or Ellman grades 2 and 3), indicating a serious development of the thrower’s shoulder pain. Therefore, whereas repairing the rotator cuff results in a good functional index allowing return to sports, it may also spell the sudden end of the professional athlete’s career.
63. Neri BR, ElAttrache NS, Owsley KC, Mohr K, Yocum LA. Outcome of type II superior labral anterior posterior repairs in elite overhead athletes: Effect of concomitant partial-thickness rotator cuff tears. Am J Sports Med 2011;39:114-20.
64. Sonnery-Cottet B, Edwards TB, Noel E, Walch G. Rotator cuff tears in middle-aged tennis players: results of surgical treatment. Am J Sports Med 2002;30:558-64.
Derotational osteotomy
This is an invasive procedure reserved only for top level young athletes who are motivated and aware of the risks. In any case, the patient must be informed of all possible complications. The indications remain exceptional.
65. Riand N, Levigne C, Renaud E, Walch G. Results of derotational humeral osteotomy in posterosuperior glenoid impingement. Am J Sports Med 1998;26:453-9.
Figure: Derotational osteotomy
Conclusion
A thrower’s shoulder consultation is time-consuming and should not result in a surgical indication until all muscle amplitudes and deficits have been rebalanced, and any scapulothoracic dyskinesia corrected. When surgery is indicated, the surgeon should not try to fix everything and should remember the ‘salvage’ nature of the procedure because, even if the published results show improved functional scores, only half of the patients return to the same sporting level, whatever technique is used. The observed tears are often adaptive and only the main cause of pain preventing the patient’s athletic activity should be identified and treated. Surgical escalation on concomitant lesions can lead to stiffness, preventing the patient from a return to previous athletic performance. Severe rotator cuff injury often spells the end of a professional sports career.
